叙事护理——小月的蝴蝶结

2025-05-17 10:24:41小儿内科天府病区(内设儿童血液/肿瘤专科)

      消毒液的气味在晨光中氤氲,我捧着PICC置管包走进病房时,小月正坐在病床上和妈妈聊天,手里拿着她喜爱的洋娃娃。小月是一位极重型再生障碍性贫血的小患者,她拥有一头乌黑浓密的秀发,在晨光里折射出蜜糖般的光泽,小月的性格也很开朗,不管跟她说什么,她总是笑脸盈盈,那甜甜的笑容,让我一天的疲惫都消散了。

  “护士阿姨,今天要在我身体里种一条透明的小溪吗?”她仰起小脸,睫毛在灯下投出蝶翼般的阴影。我蹲下身平视她的眼睛:“是啊,这样魔法药水就能坐着小船去找坏细胞打仗了。”她郑重地点头,将洋娃娃轻轻放进床头柜的收纳箱,像完成某种交接仪式。

  消毒、铺巾、定位等一切的工作都按照正常流程进行着,穿刺点定位时,我摸到她纤细的右侧手臂上,肘正中静脉充盈而有弹力,仿佛她向阳而生的生命力一样有劲。“小月是勇敢的太空人,现在我们要在手臂发射秘密通道哦,通道打通了就可以种那条透明的小溪了。”我轻声哼着《小星星变奏曲》,当穿刺针突破血管壁的瞬间,暗红色的血液从穿刺引导针回流出来,导丝送入血管顺利,导管送入血管顺利,由于局部麻醉剂作用逐渐减弱,我看到她紧握的拳头,泪水大颗大颗砸在无菌单上,却在喉咙里憋出小猫似的呜咽。

  “小月你看,导管已经送完了,你真的很勇敢,接下来魔法药水就能坐着小船去找坏细胞打仗了,我们一定会成功的!”。她挂着泪珠认真端详,忽然破涕为笑:“嘻嘻,我的透明小溪种好啦!”最后的导管固定环节,她主动伸出胳膊,让我把敷贴上的卡通贴纸摆成星星的形状。

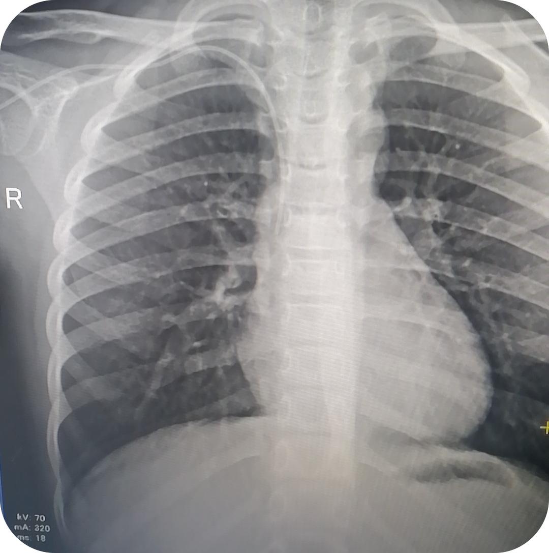
  小月突然从口袋里摸出两枚粉色发卡:"护士姐姐,这个送你。"那是她用毛线装饰的蝴蝶结,在晨光里折射着彩虹。合影时,她嘴角梨涡盛着蜜糖般的笑意,此刻的病房,仿佛有无数透明的蝴蝶正从她眼底振翅飞出。最后,PICC导管尖端位于胸6椎体侧缘水平,非常完美。

  有一段话想送给亲爱的小月:亲爱的小勇士,今天在你的血管里种下了一条生命的小溪,它会伴随我们一起在你的身体里种下一颗神奇的“生命种子”,它也会在你心里生根发芽,长出健康的小血细胞精灵,现在的你就像小超人一样勇敢,等种子长大,我们就能一起去画彩虹、田间捉蜻蜓啦,护士阿姨会一直给你加油,握紧你的小手陪你通关!