钼靶寻“lì”不是“荔”,如何精准定位?

2025-07-06 15:33:00乳腺健康中心


最近,火遍全网的《长安的荔枝》剧中李善德为将岭南鲜荔精准送达贵妃案前,可谓绞尽脑汁:而今天聊的就是藏匿于乳腺中的神秘“钙化沙砾

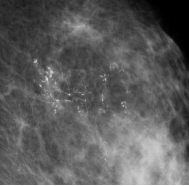
检查报告上出现“乳腺钙化灶”,特别是“成簇分布”、“形态不规则”时,很多女性的心都会揪紧。这些在钼靶片上如同细小白沙的砂砾可能是早期乳腺癌发出的唯一“求救信号”。如何精准探查这些深藏不露的砂砾”?这是乳腺钼靶(或称为乳腺X线)的独特价值,乳腺超声及乳腺磁共振无法取代。

一、 良恶难辨:钙化灶的“双面”特性

1良性钙化的“温和面孔”:

形态: 通常较粗大、密度高、轮廓清晰。可能呈圆点状、斑片状、蛋壳样(囊壁钙化)、轨道样(血管钙化)或爆米花样(纤维腺瘤钙化)。

分布:散在、弥漫分布,或沿着导管走行,边界相对清晰。

常见原因: 乳房组织自然老化、良性肿瘤(如纤维腺瘤)、既往损伤、脂肪坏死、分泌性钙化等。


                                           血管钙化    粗钙化      粗棒状钙化  圆形或点状钙化              

2恶性钙化的“可疑特征”:

态: 细微、密度不均、形态不规则。可呈细沙样(细颗粒状)、小棒状(尤其分支状)、分叉状(像小树枝杈)。

分布:成簇聚集(单位面积内数量多)、呈段样或线样分布(提示沿导管蔓延),边界可能模糊。

联风险: 这种钙化模式常与乳腺导管内病变(如导管原位癌 )或某些浸润性癌相关,是早期癌变的重要影像学征象。

           


                                           多形性钙化-颗粒点状钙化          线样分支状钙化

二、精准识别与定位:钼靶的独有价值

钙化灶在乳房中通常微小且无法直接触摸到。如何确保外科医生在手术中能精准找到这些“隐形目标”?这就是钼靶引导无可替代的作用:

精准定位: 在钼靶机实时透视下,将一根纤细的定位导丝准确穿刺植入到钙化灶的中心或紧邻区域。


路径规划: 医生会根据钙化位置和导丝入路,设计最合适、创伤相对小的手术切口。


标本验证: 手术切除包含导丝尖端(即目标钙化区域)的组织块后,需立即进行标本钼靶摄片。这是关键质量控制步骤


三、 术后石蜡切片明确诊断

完整切除钙化灶后,最终就交给病理科定“真伪”


术后某患者病检

四、后续治疗: 病理结果决定下一步:

良性: 定期随访观察即可,心头大石落地。

恶性(如DCIS或浸润癌): 需根据具体类型、分期等制定综合治疗方案(手术、放疗、化疗、内分泌治疗、靶向治疗等)。早期发现得益于活检,是获得最佳治疗效果的前提!乳腺钼靶检查,是发现乳腺癌的重要措施,乳腺超声、乳腺磁共振不能替代乳腺钼靶!(价格不能说明一切哦)

理解乳腺良恶性钙化的差异当医生建议进行钼靶引导下开放活检时,请理解这并非过度医疗,而是针对特定复杂情况,为了精准定位、完整获取病灶、获得明确病理诊断所采取的必要手段。我院乳腺健康中心致力于关爱妇女乳腺健康,用规范的专业标准为所有的乳腺癌患者进行精准治疗和全程医护管理,是最早开展钼靶引导下钙化灶定位活检手术已成功发现很多早期乳腺癌,真正做到乳腺癌的“早发现、早诊断、早治疗”。


胡会华、主任医师、二级专家、美容主诊医师

专业擅长:

擅长各种乳腺甲状腺疾病诊治。擅长孕期甲状腺疾病诊治,甲状腺癌手术,乳腺癌规范化手术、化疗、内分泌治疗、靶向治疗,肉芽肿性乳腺炎、浆细胞性乳腺炎、哺乳期乳腺疾病、乳头溢液、乳腺钙化灶的诊治。在我院最早开展经乳晕及经口腔甲状腺腔镜手术、最早开展乳腺癌改良根治术及乳腺钙化灶定位活检术。擅长腔镜甲状腺手术、甲状腺穿刺活检术、甲状腺良恶性疾病诊治。擅长乳腺微创旋切术、乳腺钙化灶定位活检术、乳房注射式隆乳剂取出术、乳腺癌术后假体再造美容手术、乳腺微创美容手术。

学术与科研:

中国妇幼保健协会乳腺保健专业委员会青年学组委员,

四川省妇幼保健协会乳腺保健专科分会第二届委员,

四川省国际医学交流促进会头颈肿瘤分会第二届常务委员

四川省医师协会甲状腺外科医师分会第二届委员,

四川省医学科技创新研究会甲状腺外科创新与转化分会委员,

成都医学会第九届普外专业委员会委员,

成都市抗癌协会第二届甲状(旁)腺专业委员会委员。



陈进、医师,医学硕士

专业擅长:

熟练掌握乳房良性肿瘤、肉芽肿性乳腺炎、男性乳房发育的手术治疗、乳房恶性肿瘤、甲状腺良恶性肿瘤等规范化、全程化、个体化诊治;擅长乳管镜检查、乳腺结节微创手术、乳腺钙化定位活检术、静脉输液港置入术等。

学术研究:

荣获《四川省第四届乳腺健康科普大赛》“最佳团队协作奖”;获医院2024年度考核优秀人员”;参编乳腺专著一部;主持院内科技创新基金课题一项;以第一作者于国家级核心期刊发表论文数篇。