不是所有胚胎都能成为“优质款”,筛选标准一看就懂
2026-04-16 08:57:04生殖医学中心
【第一篇:专业科普】
很多姐妹问:胚胎评分怎么看?4AA是什么意思?今天用实验室真实标准,一次性讲清楚
第一步:卵子海选看卵冠丘复合体——颗粒细胞饱满、卵子形态圆润,只是初步筛选,普通卵子也能逆袭✨


第二步:精卵配对必须是MⅡ成熟卵,精子优选活力好、DNA碎片率低的,合格就有机会


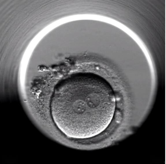
第三步:受精官宣16-18小时后看到2个原核(1个来自卵子、1个来自精子),大小对称=正常受精


第四步:第3天评分- 细胞数:7-9个为佳(6-10个都可用) - 碎片率:<10%优质,10-20%良好 ⚠️ 这只是参考,不是终审判决!


第五步:囊胚终极考核(最重要!)用Gardner分级:数字+两个字母例:4AA、4BB、5AB
数字(1期-6期):扩张程度,4期是黄金期 �� 第1个字母:内细胞团(将来变胎儿),A最好 �� 第2个字母:滋养层(将来变胎盘),A最好

✅优质囊胚标准:4AA、4AB、4BA、4BB都是优等生!

给姐妹们的定心丸:没有”完美胚胎”,只有”发育同步”的胚胎
评分高≠一定成,
评分中等≠不行
只要被实验室选中移植/冷冻,就是值得期待的种子
信任过程,放松心情,好孕在路上

囊胚结构图解
【第二篇:轻松版】
胚胎选美大赛:你的宝宝如何C位出道?
如果把胚胎培养比作选秀,实验室就是严格的评委团
海选期(取卵当天)看颜值:卵子圆润饱满、颗粒细胞紧密 但!很多”素人”卵子受精后是大黑马
初舞台(第3天)- 细胞数:7-9个是标准配置 - 碎片率:<10%是学霸,<20%是优等生 - 大小均匀:不能”贫富差距”太大
总决赛(第5-6天)最权威的Gardner评分登场:4AA = 顶流出道4BB = 实力选手3BB+ = 潜力新人
记住:能进决赛圈的,都是好苗子!

囊胚发育各期
【第三篇:患者答疑】
关于胚胎评分的4个真相
Q:4AA一定比4BB好吗?A:是的,但4BB也是优质囊胚,临床妊娠率差异没有想象中大。
Q:第3天胚胎评分不好,还要养囊吗?A:要!很多第3天”中等生”,养到第5天逆袭成4AA/4AB(特殊情况下具体问题具体分析)。
Q:评分高为什么没着床?A:胚胎只是”种子”,还要看子宫内膜”土壤”、免疫、内分泌等配合。
Q:我的胚胎被冷冻了,是不是不好?A:不是!冷冻胚胎都是通过了筛选的”储备军”,解冻后成功率与新鲜胚胎相当。
最后想说:胚胎评分是科学,但生命更是奇迹。实验室选的是”概率”,而你的宝宝选的是”你”。
祝好孕!